急性心肌梗死是威胁生命的急症,我国每年约100万人发病。当冠状动脉突然闭塞,心肌细胞会在短时间内因缺血缺氧而坏死,若不及时救治,致死率极高。心梗典型症状包括持续胸痛、胸闷、冷汗、恶心等,但部分患者仅表现为头晕、乏力等非典型症状,容易延误治疗。
日前,64岁的李叔(化名)因胸闷痛伴头晕不适持续3天来顺德新容奇医院就诊。李叔有长期吸烟史,有高血压既往史,有规律服用降压药物,入院时血压仅82/45mmHg,四肢冰冷,心电图显示“三度房室传导阻滞合并下壁ST段抬高”,确诊为急性下壁心肌梗死,同时合并心源性休克,病情极其凶险。
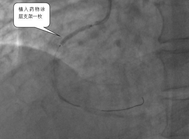
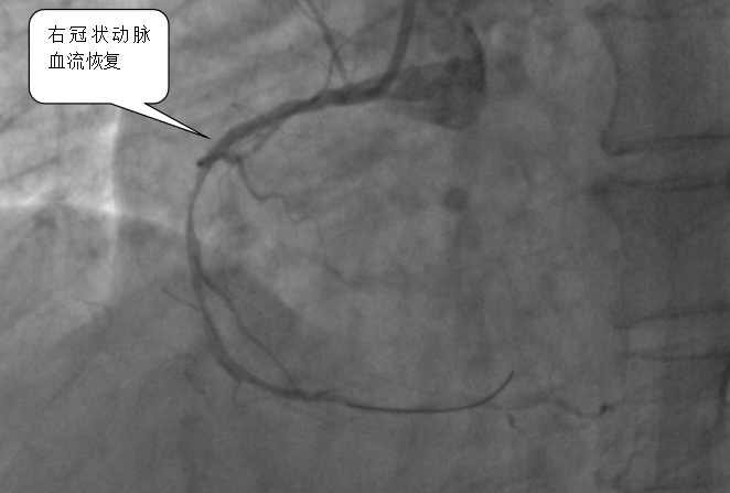
医院心血管内科专家团队立即启动胸痛中心绿色通道,从患者入院到完成心电图检查仅用3分钟,确诊后2分钟内即给予抗血小板治疗,并紧急实施冠脉介入手术。术中造影发现患者右冠状动脉近段完全闭塞,医生通过血栓抽吸、冠脉内溶栓及药物球囊扩张等操作,最终成功植入支架,恢复血流。术后患者血压、心率恢复正常,转危为安。



【关键救治时间轴】
15:01 来院就诊
15:04 完成心电图检查确诊急性心梗
15:06 开始抗血小板治疗
15:20 进入导管室手术
16:45 血管再通,手术成功
心血管内科韦福起主任强调:“心梗救治就是与时间赛跑,患者及家属的警觉性、医疗体系的快速响应缺一不可。”目前李叔恢复良好,该案例也为公众敲响健康警钟——预防心梗,从改变生活方式开始。
心梗科普知识
1、心梗早期识别很重要
心肌梗死即心肌缺血性坏死,是冠状动脉血供急剧减少或中断使得心肌严重而持久的缺血导致的心肌坏死。
基础研究证实,心肌梗死病人血管闭塞20分钟,心肌几乎没有坏死,30分钟后才开始出现坏死,6个小时后心肌坏死比例达到85%~90%。“时间就是心肌,心肌就是生命”。心肌细胞一旦缺血受损,是不可逆的。
急性心梗的病人在发病后的一个小时内如果能够开通血管,平均的死亡率是1.6%,若拖延到2个小时,平均死亡率是2.1%,如果延迟到6个小时,平均死亡率是6.0%。
2、急性心梗的典型症状
胸痛:突发剧烈的持续性的胸骨后或心前区闷痛、紧缩压榨感或压迫感,放射痛,可向左上臂、下颌、颈、背、肩部或左前臂尺侧放射,呈间断性或持续性,伴有出汗、恶心、呼吸困难、窒息感,甚至晕厥。
症状持续>20分钟,含硝酸甘油不能完全缓解时,常提示急性心肌梗死。
此外,不典型临床症状还包括上腹痛、牙痛、下颚痛、左肩、左腋下疼痛、后背痛、嗓子痛、脖子痛、头痛,伴有上腹部胀闷,伴有恶心感等,也要警惕心梗。
3、心梗来袭怎么办?
心梗救治要牢记两个120,关键时刻能救命,一是出现胸痛立刻拨打120,二是争取黄金时间120分钟。
拨打120:如果突然发病,应立即拨打120急救电话或送诊当地医疗机构胸痛中心进行相关检查以排除或确定心肌梗死的可能。
平卧休息:送医院就诊前,病人应立即平卧休息,禁止各类活动,避免一切干扰。
给予急救药品:家属应尽量保持病人情绪稳定,给予舌下含服硝酸甘油或速效救心丸等急救药品。
吸氧:如果周围有小氧气瓶或氧气袋,应迅速给予吸氧。
人工呼吸:如患者呕吐、应避免堵塞气道、影响呼吸,一旦出现呼吸、心跳停止,则需要尽早实施人工呼吸、胸外心脏按压等院前急救措施。
【顺德新容奇医院胸痛中心】
顺德新容奇医院胸痛中心秉承“重视胸痛,警惕心梗,快速救治,预防猝死”的理念,依据胸痛中心建设标准(标准版)及指南制定了胸痛患者救治的策略及流程。2019年10月,胸痛中心通过省级认证,12月通过中国胸痛中心认证,作为以冠脉介入为首选再灌注方法的胸痛中心,24小时常规开展介入治疗开通血管。顺德新容奇医院致力建设顺德南部急救中心,为生命保驾护航!
【心血管内科介绍】
心血管内科开设有门诊和住院部(含VIP),能够为顺德及周边市民提供心血管疾病诊疗方面的医疗需求,并提供优质的系统化服务。科室专业设备齐全,配备有数字减影血管造影,心脏多道电生理刺激仪、食道电生理刺激仪、心脏电击除颤器、临时心脏起搏刺激仪、24小时动态心电图等多种先进的仪器设备;并依托医院完善成熟的影像、检验等辅助科室,诊疗体系完善。顺德新容奇医院心血管内科能够及时将国内外专科发展前沿技术应用于临床实践,为患者提供专业、高效、细致的服务。
编辑:梅子
来源:顺德新容奇医院