平时不小心磕到头
以为不痛不痒就没事?
其实这些不以为然的小伤
可能已经在脑内埋下“定时炸弹”
随时会在不知不觉中引爆大危机
↓
以为是中风前兆
小磕碰引发的大问题
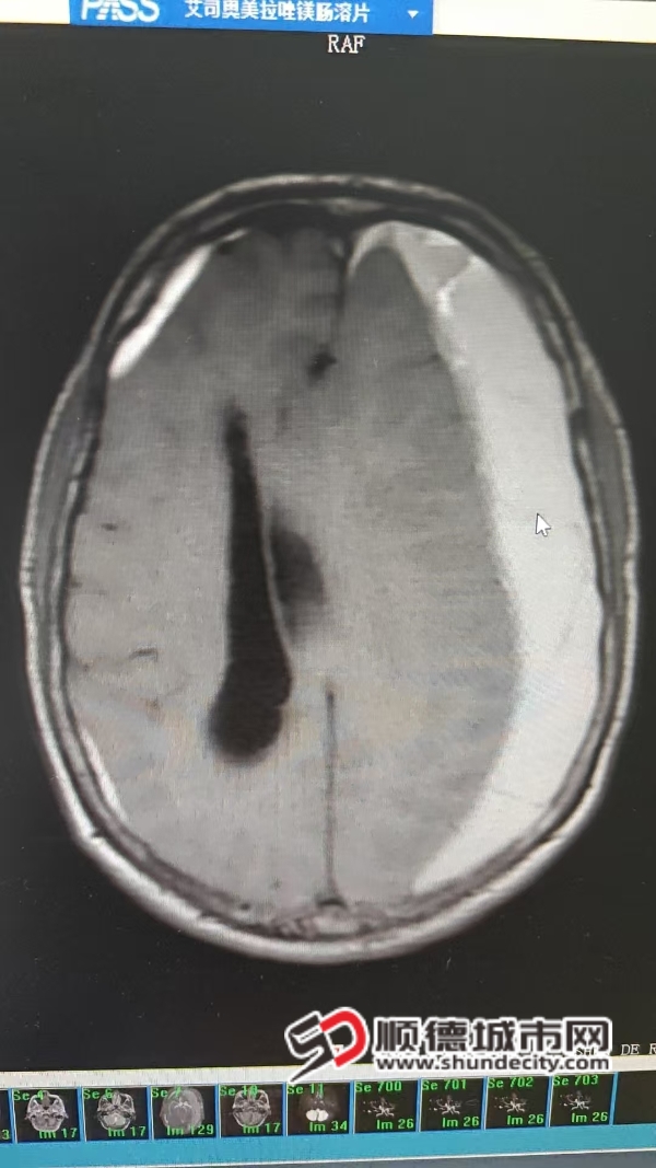
50多岁的胡先生,近来总感觉走路发飘,一侧手脚也变得无力,家人担心这是“中风前兆”,赶紧带他到顺德新容奇医院神经外科就诊。经头颅CT检查,意外发现元凶竟然是慢性硬膜下血肿!
原来数周前胡先生不慎撞到头,当时没当回事,没想到颅内竟悄悄隆起了一个血包,压迫脑组织导致肢体无力。顺德新容奇医院神经外科团队为他实施了微创钻孔引流术后,胡先生的症状便迅速消失,恢复了正常生活。

为患者施行手术。
神经外科专家李杨提醒:慢性硬膜下血肿在老年朋友中较为常见,症状常被误认为“老了”或“中风了”,但通过微创手术可快速清除!早发现、早治疗,千万别让“沉默杀手”偷走健康!

手术前。

手术后。
慢性硬膜下血肿
不可忽视的“沉默杀手”
慢性硬膜下血肿是神经外科的常见疾病之一,是指颅内出血后,血液积聚在蛛网膜与硬脑膜之间,形成的慢性占位性病变。它通常发生在头部撞击几周或几个月后,缓慢出血形成包块,逐步压迫大脑。高危人群包括:
老年人
这也是最常见的高发人群。因为随着年龄增长,大脑会出现脑萎缩,脑组织之间的空间变大,而且老年人的血管比较脆弱,哪怕轻微磕碰也容易出血。
长期服抗凝药者
长期服用抗凝药,如阿司匹林、华法林等的人群,抗凝药会让血液凝固功能下降,出血后不容易止血,增加了慢性硬膜下血肿的风险。
酗酒者
长期大量饮酒会损害肝脏功能,而肝脏是生产凝血因子的“工厂”。肝功能受损意味着凝血功能下降。同时,酗酒者更容易跌倒受伤,且受伤后可能意识不清,忽略或忘记受伤经过。
医生提醒,慢性硬膜下血肿发展缓慢,早期症状极易被误以为是“年纪大了”、“老年痴呆”、“颈椎病”甚至“小中风”,因为症状与许多老年人常见问题相似,所以容易被忽视。
警惕信号
1.持续或加重的头痛
2.反应迟钝、记忆力减退、性格改变
3.走路不稳、一侧手脚无力
4.言语不清、恶心呕吐
医生提醒,若不及时治疗,血肿持续压迫大脑,可能导致偏瘫、昏迷,甚至危及生命!
微创钻孔引流术
30分钟解除脑压迫
头颅CT扫描是诊断慢性硬膜下血肿的金标准。能够快速、清晰地显示血肿的位置、大小、范围以及脑组织受压的程度。
一般来说,血肿小于30ml,并且没有其他症状,可以保守治疗。但是如果血肿已经对大脑造成压迫,就需要及时手术干预了。
微创钻孔引流术只需要在局麻下,在病灶处钻1-2个约1cm的小孔,将血肿内的血引流出来,手术全程仅需30分钟,创伤小、恢复快、费用低,一周左右就可以拆线出院了。
微创钻孔引流术是顺德新容奇医院神经外科治疗慢性硬膜下血肿的常规且成熟的技术,手术团队经验丰富,能为广大患者提供专业、安全、高效的医疗服务。
顺德新容奇医院神经外科提醒:对于老人来说,防跌倒是重中之重。浴室要安装防滑垫,清除地面障碍物,保证照明充足,还可以使用扶手或者助行器等。长期服用抗凝药的人,一定要定期找医生评估风险,监测身体状况。
术后要遵医嘱按时复查CT,通常在1-3月内复查,还要警惕复发症状,一旦出现,要赶紧就医。
■科室介绍
神经科作为顺德新容奇医院重点发展的科室之一,借鉴临床多学科综合治疗团队(multidisciplinaryteam,MDT)的模式,整合神经内、外科资源,搭建临床多学科诊治平台,实现多学科协调运作。经过近一年的发展,通过运用神经系统疾病诊疗最优的病房管理模式——StrokeUnit(卒中单元),在规范化诊疗,系统康复方面取得了令人瞩目的成绩。
神经外科诊疗疾病有:颅脑损伤;颅脑外伤后头痛、躯干、四肢出现感觉、运动功能障碍及各种后遗症者,因各种症状而怀疑患颅内肿瘤或脑血管疾病,有待于进一步检查确诊者;神经、血管性头痛、颈椎病、坐骨神经痛、三叉神经痛肢体、及各种神经功能障碍者;椎间盘突出或椎管内肿瘤需手术治疗的患者;青少年出现抽搐、突发神志不清,不明原因的视力下降,小儿头颅异常增大,先天及外伤性脑积水、内科难治性癫痫及高血压脑溢血手术治疗、急性脑梗塞介入溶栓治疗;不明原因的头痛、头昏及各种特殊症状长期治疗效果不佳者。
名医介绍:
李扬
副主任医师、神经外科学科带头人。毕业于海军军医大学、解放军总医院,副主任医师,硕士研究生,从事神经外科临床工作29年,深耕颅脑外伤、脑肿瘤、脑血管疾病及功能神经外科的诊断与治疗。
临床专长
1、复杂颅脑损伤急救与微创手术。2、高血压脑出血的立体定向穿刺引流术/神经内镜清除术。3、脑胶质瘤、脑膜瘤的手术治疗。4、三叉神经痛、面肌痉挛诊疗。5、先天颅脑畸形、脑积水、脑脓肿手术治疗。6、顽固性疼痛及面神经损伤后电刺激治疗。7、脑血管疾病的外科治疗/介入诊断及治疗。
编辑:梅子
来源:顺德新容奇医院